New Patients
(000) 000-0000
A Branch of Slievemore Dental
https://maps.app.goo.gl/QmhugDDbRw7mHDW69
https://www.instagram.com/slievemore_dental/
https://www.youtube.com/@SlievemoreDental
Book Now
Implant Dentistry
All-on-4 Full Mouth Implants
Zygomatic Dental Implants
The Cost Of Dental Implants
What To Expect
What Are Your Options
Am I A Candidate?
Preliminary Implant Procedures
Implant Maintenance
Amazing Results
Patient Stories
Before & After Photos
Our Advantage
Saad Ahsan, DDS
Jimmy Butt, DDS, DMD
Commitment To Excellence
Implant Financing
Anxiety Management
Video Library
Frequently Asked Questions
Full Implant Warranty
Patient Information
Pre-Op Instructions
Post-Op Instructions
Our General Dentistry Site
Blog
Contact Us
Schedule Today
Referring Doctors
Implant Dentistry
All-on-4 Full Mouth Implants
Zygomatic Dental Implants
The Cost Of Dental Implants
What To Expect
What Are Your Options
Am I A Candidate?
Preliminary Implant Procedures
Implant Maintenance
Amazing Results
Patient Stories
Before & After Photos
Our Advantage
Saad Ahsan, DDS
Jimmy Butt, DDS, DMD
Commitment To Excellence
Implant Financing
Anxiety Management
Video Library
Frequently Asked Questions
Full Implant Warranty
Patient Information
Pre-Op Instructions
Post-Op Instructions
Our General Dentistry Site
Blog
Contact Us
Schedule Today
Referring Doctors
Book Now
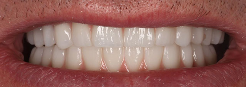
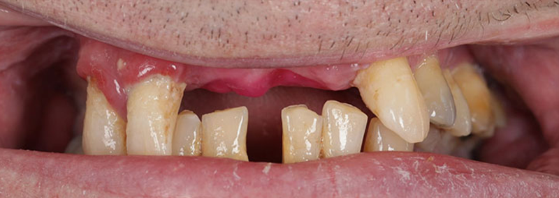
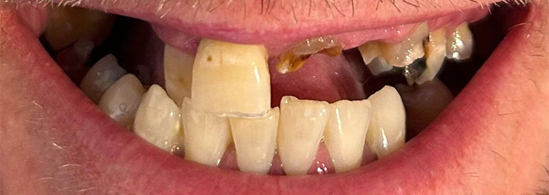
Before & After Photos
Before & After Photos - Dublin, Ireland
The Proof Is In Our Patients
Schedule Now
Porcelain Veneers
Invisalign
Teeth Whitening
Restore Your Smile with Ireland’s Leading Restoration Experts.
Schedule your implant consultation today!
Book Now